胸部X線写真

X線写真は喘息の診断はもちろん、それ以外にも肺炎や気胸などの合併がないか、喘息と紛らわしい病気の診断にも欠かせないものです。X線の被爆を心配される方がまれにおられますが、X線写真から得られる体の情報は多く大切な検査です。しっかり受けて体の事はキチッと調べておきましょう。


気管支喘息の特徴的なX線写真

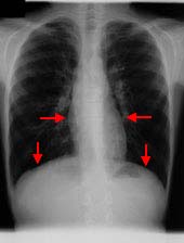
胸部立位正面

 このお子さんは頻回に喘息発作が生じていたにも関わらず、民間療法にて長い間治療をされていました。

 喘息により肺の含気が多くなり、肺野は明るく(写真では黒く)抜けて見え、横隔膜の位置も下がり、心臓は肺に圧迫されて長細い「滴状心」と言われる形になっています。

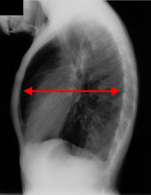
胸部立位側面

 同じお子さんの胸部を横から撮影したものです。肺の含気が高まったために、前胸部が飛び出した「樽状胸」と言われる形になっています。



こどもと喘息喘息の診断について